Tych testerów lepiej nie testuj! Nie uwierzysz, co mikrobiolog znalazła w cieniach do powiek
 
  Na pierwszy rzut oka wygląda niewinnie. Małe pudełeczko, rzędy kolorowych kwadratów – błękity, brązy, złoto i grafit. Tester cieni do powiek stoi na półce, otwarty, gotowy, by każdy mógł zanurzyć palec w pudrowej fakturze i sprawdzić, jak barwa rozjaśni spojrzenie.
To rytuał znany niemal każdej kobiecie, która choć raz kupowała kosmetyki w drogerii, ale to właśnie ten produkt – cień do powiek – okazał się największym siedliskiem bakterii.
- Badania mikrobiologiczne testerów w drogeriach wykazały, że cienie do powiek są najbardziej zanieczyszczonym produktem
- Na szalkach hodowlanych znaleziono paciorkowce, gronkowce i pałeczki jelitowe – bakterie mogące powodować zapalenie spojówek i inne infekcje
- Ekspertka apeluje o zmiany w drogeriach – jednorazowe aplikatory, płyny dezynfekujące i lepsze przepisy higieniczne
Cienie do powiek z groźnym dodatkiem
W laboratorium każdy tester wyglądał jak niewidzialny zapis życia klientów: ślady potencjalnych infekcji,  dowody na niemycie rąk po toalecie, dotykanie zwierząt... Najgorzej ze wszystkich badanych produktów wypadły cienie.
– Było to dość oczywiste – przyznaje mikrobiolożka Dominika Ziplińska, która razem z inną mikrobiolog Mają Muzyką badała czystość testerów w drogeriach. – Widzimy, jak klienci testują cienie: najczęściej palcami, możliwe, że bez mycia rąk. Nic dziwnego, że to właśnie one okazały się najbardziej zanieczyszczone.
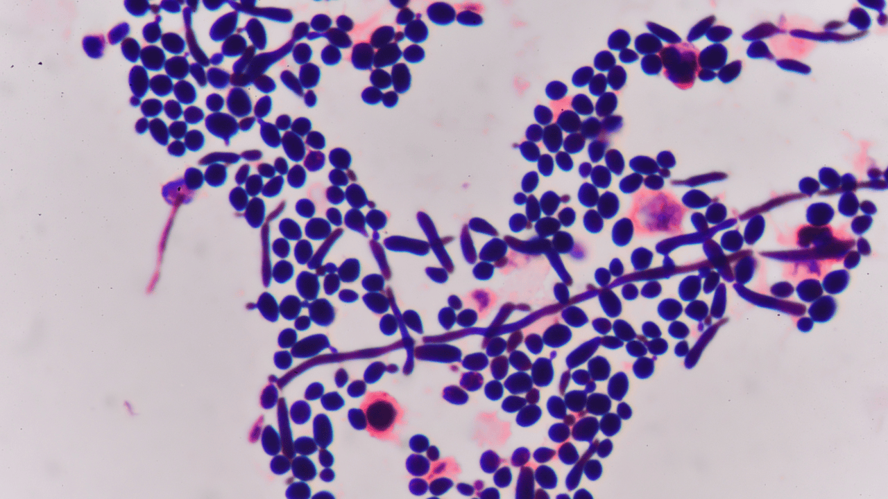
Gdy próbki z wymazówkami trafiły do laboratorium, szalki szybko zapełniły się koloniami. Na pożywkach rozkwitały paciorkowce i gronkowce, bakterie na co dzień obecne na ludzkiej skórze. W normalnych warunkach są niegroźne, ale na błonie śluzowej oka czy w ranach mogą powodować poważne zakażenia – od zapalenia spojówek po ropnie.
"Wśród wyizolowanych bakterii stwierdzono obecność komórek posiadających endospory w postaci okrągłych ziarnistości znajdujących się w komórkach o kształcie laseczek. Obecność przetrwalników umożliwiła wstępną identyfikację tych drobnoustrojów jako bakterii należących do typu Firmicutes, z rodzaju Bacillus" – czytamy w badaniach.

Testowanie na powiece? Spore ryzyko
Ryzyko w przypadku cieni jest szczególnie wysokie, bo to produkt przez niektórych testowany nie na dłoni, lecz na powiece – jednym z najbardziej wrażliwych miejsc naszego ciała. Nawet niewielka ilość bakterii może wystarczyć, by wywołać stan zapalny.
Podkłady z pompką czy szminki z zabezpieczeniem mają szansę na większą higienę. Cień do powiek nie ma żadnej bariery – nie chroni go żadne opakowanie, nie wymaga aplikatora. To produkt, który wręcz zaprasza do kontaktu z palcami.
Badania pokazały też, że właśnie w przypadku cieni zauważono dużą zależność między deklaracjami drogerii a realnym stanem higieny. Tam, gdzie obsługa zapewniała o regularnej wymianie testerów i ich dezynfekcji, było najlepiej. 
Każda drogeria po zakończeniu badań otrzymała informację, jak wypadły jej produkty, w tym cienie. Niektórzy kierownicy byli zaskoczeni, inni wdzięczni. Ale czy po badaniach wprowadzono jakieś zmiany? Badaczka uważa, że nie.
Co można zmienić?
Czy jest wyjście z tej sytuacji? Zdaniem badaczek – tak, ale wymagałoby nowego podejścia. Testerów cieni nie powinno się nakładać palcami. Idealnym rozwiązaniem byłyby jednorazowe aplikatory albo płyny dezynfekujące ustawione przy stoisku.
– Tylko czy klienci by z nich korzystali? – pyta badaczka. 
Jej zdaniem potrzebne są przepisy regulujące higienę w zakresie testerów.
– Bezpieczeństwo klientów nie może zależeć od dobrej woli drogerii – mówi Pacjentom.
Dziś, gdy Dominika przechodzi obok półki z cieniami w drogerii, nie widzi już tylko błyszczących kolorów. Widzi szalki z hodowlami bakterii, które kiedyś rosły w jej laboratorium.
– To był najbardziej brudny produkt, jaki badaliśmy. Zawsze zwracałam dużą uwagę na higienę, ale teraz, kiedy tylko testuję cień do powiek, wręcz biegnę umyć ręce.
Kolor, który miał być obietnicą piękniejszego spojrzenia, w świetle badań okazał się symbolem czegoś zupełnie innego: niewidzialnego ryzyka, które kryje się w drobnej warstwie pudru.
Źródła:
- Pacjenci.pl
- Ocena czystości mikrobiologicznej testerów kosmetyków w drogeriach kosmetycznych | Assessment of microbiological purity of cosmetic testers in cosmetic drugstores, Dominika Ziplińska, Maja Muzyka
____________________________________________
Dominika Ziplińska – studentka i aktywna członkini Studenckiego Koła Naukowego Mykologii działającego przy Katedrze Mikrobiologii i Mykologii, Wydziału Biologii i Biotechnologii Uniwersytetu Warmińsko-Mazurskiego w Olsztynie. Łączy zaangażowanie społeczne z pasją do nauki, rozwijając swoje zainteresowania mykologią, ze szczególnym uwzględnieniem fitopatogenów roślin i grzybów środowiskowych.
 
       
     
       
     
       
     
       
     
       
     
       
     
     
     
       
     
       
     
       
     
       
     
       
     
       
     
       
     
       
     
       
     
       
     
       
     
       
     
       
     
       
     
       
     
       
     
       
     
       
     
        
     
        
     
        
     
        
     
        
     
        
     
        
     
        
     
        
     
        
     
        
     
        
     
      